
Porcelain Veneers
What Are Veneers?
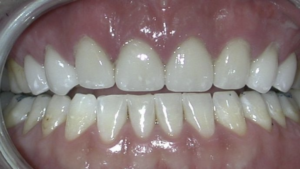
Ready to Enjoy Results Like This? Request a Consultation Today
Do you notice any similar aesthetic issues when you look in the mirror? Porcelain veneers have helped many of our patients, and they can help you. Our cosmetic dentist can customize your treatment to address your unique needs, bringing you closer to the smile you've always dreamed of. Ready to get started? Request a consultation at our Lake Jackson office today. You can contact us online or call:
"You won't be disappointed with Bell Dental!" A Real Patient's Testimonial
"Dr. Bell’s professional service as a dentist is also a personally tailored experience for each of his patients. I appreciate his empathy during the visits that are not so routine. His dental assistants are amazing and office staff is some of the best I’ve ever met. You won’t be disappointed with Bell Dental!" BobbyJo Newell
Traditional vs. No-Prep Veneers
Traditional Veneers

Traditional dental veneers can be made from a range of materials, including composite resin, zirconia, and porcelain. Our cosmetic dentist in Lake Jackson, TX, prefers porcelain for its durability and lifelike qualities. When crafting veneers from porcelain, we can precisely match your restorations to the shade, shape, and size of your natural teeth, ensuring seamless results. When placing your traditional porcelain veneers, your dentist will have to remove a small amount of enamel from the surface of your teeth, making them a more permanent treatment option. Porcelain veneers can last over 15 years with good dental care.
No-Prep Veneers

These veneers can also be made of lifelike porcelain, but they don't require your dentist to alter the structure of your natural teeth for placement, which makes the treatment reversible. However, it is important to understand that because they are bonded directly to the enamel, they can potentially affect the surfaces of your teeth. No-prep veneers tend to be thinner than traditional veneers, so they are best suited for concealing minor cosmetic issues. Severe discoloration and damage may be more effectively addressed with traditional dental veneers. No-prep dental veneers typically last for five to seven years.
The Dental Veneers Timeline
Upgrading your smile with porcelain veneers is quick and virtually painless. We can complete the entire process in as few as two appointments.
Are Porcelain Veneers Covered by Insurance?
Veneers fall under the cosmetic dentistry umbrella, which means they are considered elective and not covered by dental insurance plans.
However, we don't want insurance eligibility or financial limitations to come between our patients and the transformative cosmetic treatments they're looking for. This is why our Lake Jackson, TX, proudly accepts financing options, including CareCredit®. CareCredit offers loans with little or no interest, repayable in flexible monthly installments. With financing, you can achieve your cosmetic goals while staying comfortably within your budget.
"Absolutely the best!" Another 5-Star Patient Review
"Dr Bell and staff are absolutely the best! I highly recommend! Always friendly, work with your schedule, and always very prompt to attend you when you have an appointment." Nancy Fernandez




